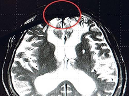
Hasil kajian ahli neurologi Jerman berjaya
menemui bahagian otak yang membuat manusia menjadi jahat. Dr Gerhard
Roth berkata, bahagian itu terletak di depan bawah otak manusia yang
kelihatan seperti tompok hitam melalui pemeriksaan X-ray.
“Tompok hitam itu ditemui pada hampir setiap pelaku jenayah,” katanya sebagaimana yang dilaporan Sinar.
Beliau menemuinya ketika membuat kajian tentang pelaku jenayah di Jerman yang dipenjarakan untuk tempoh lama. Penyelidikan tersebut menunjukkan perilaku jahat juga boleh diwarisi daripada genetik.
“Jika terdapat ahli keluarga mempunyai penyakit di bahagian hadapan otaknya, sebanyak 66 peratus generasi berikutnya berpotensi mengalami simptom sama,” jelasnya lagi.
Di dalam al-Quran disebut “Nasiyyahtin kazibatin khati’ah” maksudnya “Ubun-ubun yg membuat dusta dan bersalah”.. Jika benar penemuan ini, ianya adalah ‘i’jaz al-quran’ yang membuktikan kebenaran isi kandungan al-Quran.
“Tompok hitam itu ditemui pada hampir setiap pelaku jenayah,” katanya sebagaimana yang dilaporan Sinar.
Beliau menemuinya ketika membuat kajian tentang pelaku jenayah di Jerman yang dipenjarakan untuk tempoh lama. Penyelidikan tersebut menunjukkan perilaku jahat juga boleh diwarisi daripada genetik.
“Jika terdapat ahli keluarga mempunyai penyakit di bahagian hadapan otaknya, sebanyak 66 peratus generasi berikutnya berpotensi mengalami simptom sama,” jelasnya lagi.
Di dalam al-Quran disebut “Nasiyyahtin kazibatin khati’ah” maksudnya “Ubun-ubun yg membuat dusta dan bersalah”.. Jika benar penemuan ini, ianya adalah ‘i’jaz al-quran’ yang membuktikan kebenaran isi kandungan al-Quran.














0 comments:
Post a Comment